4.不同解剖类型淋巴瘤简述
4.1纵隔/胸腺型淋巴瘤
患纵隔(Mediasintal)/胸腺(Thymic)型淋巴瘤的猫一般表现出由纵隔肿块和或相关胸腔积液引起的临床症状,大多数患猫年龄较小且FeLV检测呈阳性。由于胸腺是T细胞发育成熟的场所,所以纵隔/胸腺型淋巴瘤主要源于T细胞谱系。胸腺型淋巴瘤多由大淋巴细胞构成,其细胞核呈圆形,染色质平滑,含有一个/多个核仁,如图10所示,小细胞胸腺淋巴瘤的报道较少。[14, 29, 38]一项样本量为55的猫纵隔型淋巴瘤相关研究显示,患者年龄中位数为3岁,对化疗反应良好,中位生存期(Median survival time,MST)超过一年。[39]

图10纵隔淋巴瘤猫胸腔积液的直接图片 镜下可见大淋巴细胞,箭头为红细胞[8]
4.2鼻腔型淋巴瘤
淋巴瘤是猫鼻腔最常见的肿瘤(占猫鼻腔肿瘤的50%,其他鼻腔肿瘤包括腺癌、鳞状细胞癌及纤维肉瘤等),常见于年龄较大、FeLV阴性的猫。[29, 38]一项研究显示,经鼻活检诊断出的淋巴瘤中,约50%为大淋巴细胞,40%为中~小细胞,10%左右为混合细胞。[40]鼻内病变最有效的识别技术是头部CT检查,如图11所示,除鼻腔外还可同时筛查可能受累的咽后淋巴结。此外,理想情况下应进行细胞学和组织学评估。

图11猫鼻腔淋巴瘤CT影像,显示右侧鼻腔及同侧软组织区域(红圈内)存在软组织密度影[29]
鼻腔淋巴瘤的预后尚可至良好,报道MST在12-30月不等。它通常是一种局部性疾病:10-37%的死亡(安乐)归因于局部复发;10-33%归因于全身性进展。据报道,在疾病进展的病例中,肾脏是常见的远端转移部位。[29]作为一种孤立且且对放射敏感的肿瘤,其治疗通常基于放疗/化疗或两者联合,目前尚无法确定最有效的治疗方案。在一项研究中,最长MST=955days是通过联合使用放疗化疗获得的。因此,目前普遍认为:对于局部病变的患者,单独使用放疗即可实现长期生存;对于有证据或怀疑存在全身系统性淋巴瘤的患者,则适合联用或单独化疗的方案,当然,涉及到个体差异,最终采取的方案不同。[29, 38]
4.3眼淋巴瘤
眼部淋巴瘤的临床症状多样,可包括失明、眼球突出或可识别的肿块等。眼部淋巴瘤可为单侧/双侧发病,且在相当一部分(但非所有)猫中,其出现可能先于系统性疾病的发作,眼球和眼球后间隙的任何部位均可受累。不过据报道,存在假定为孤立性的眼部淋巴瘤,其类型通常为弥漫型大B细胞淋巴瘤(DLBCL),大多数患病个体伴有葡萄膜炎或青光眼,视网膜淋巴瘤则较为罕见。[29]有病例报道显示,一例结膜淋巴瘤对化疗无反应,但手术切除后一年内未复发。[29, 41]另一项研究评估了患有系统性淋巴瘤猫的眼部受累情况,发现在26只中,有12(48%)只存在眼部病变,其中以葡萄膜炎最常见,占受累个体的58%。[42]故对于系统性淋巴瘤的患者,应进行眼科检查
同理,当诊断出眼部淋巴瘤时,若怀疑其他系统部位受累,应对对应部位采样检查,患者存在系统性疾病的可能性应促使考虑使用辅助化疗的治疗方案,但值得注意的是,对于孤立的眼科淋巴瘤,有报道仅行眼球摘除术后长期存活的患者。[38]
4.4 CNS淋巴瘤
中枢神经系统肿瘤在猫中较为罕见,其中,淋巴瘤是最高发的肿瘤类型:淋巴瘤是猫影响脊髓最常见的肿瘤,也是第二常见的颅内肿瘤。[8, 29]CNS淋巴瘤通常作为多中心疾病进程的一部分发生,据报道,在患有其他解剖部位淋巴瘤的猫中,其发生率为2.5%-13%。原发性CNS淋巴瘤病例也存在,患猫一般较为年轻且FeLV检测大多为阳性,具可呈现多种形态学模式,包括[29]:
■脑实质内肿块;
■脑淋巴瘤病
■血管内淋巴瘤;
■淋巴瘤性脉络丛炎和脑膜炎;
■脊髓硬膜外、硬膜内-髓外或髓内淋巴瘤;
■周围神经的神经淋巴瘤病
明确诊断较难实现,这可能是脑部受累报道相对不足的原因之一。CT或MRI可能会检测到局灶性肿块病变,或更具浸润性、弥漫性的异常模式。确切诊断可能来源于对其他疑似远处受累部位进行采样。脑脊液分析相对简单快捷,但对于CNS淋巴瘤无法确诊:难以区分肿瘤性淋巴细胞和反应性淋巴细胞;由于细胞数偏低,阴性结果也无法排除淋巴瘤。[8, 38]
关于猫CNS淋巴瘤成功/有效治疗结果的报道较少,目前普遍认为预后较差,MST较短。由于大多数常规细胞毒性的药物难以通过血脑屏障,针对脑淋巴瘤的药物治疗方案效果不如其他形式淋巴瘤理想。部分患者对泼尼松龙/阿糖胞苷治疗有反应;对于特定病例,放疗(或与化疗联用)可能可取得更好的治疗效果。[38]
4.5皮肤/皮下型淋巴瘤
皮肤肿瘤在猫中较为常见(比如肥大细胞瘤的皮肤型等),但皮肤淋巴瘤相对较少。皮肤型淋巴瘤多见于FeLV检测阴性的老年猫。(不过已有研究从肿瘤性皮肤细胞中分离出FeLV provirus,故不能完全排除皮肤型淋巴瘤和FeLV的关系).[8]皮肤淋巴瘤无特定好发部位,可表现为孤立单发性病灶,也可表现为泛/多发性皮肤病变,并可呈现为慢性瘙痒性脱皮性皮肤病或慢性炎症性病变的症状。
猫皮肤淋巴瘤有两种形式:趋上皮性(Epitheliotropic)和非趋上皮性:趋上皮性皮肤淋巴瘤,又可称为蕈样肉芽肿,主要为T细胞淋巴瘤,其真皮内可见5-10个细胞聚集形成的细胞巢;非趋上皮性皮肤淋巴瘤则一般由存在于真皮更深处的B细胞构成,两者均通常为大细胞淋巴瘤[8]
单发性皮肤淋巴瘤可通过手术治疗。对于多发性皮肤病变,当手术方案不适用时,可尝试使用常规细胞毒性药物化疗。近距离放射治疗和外照射放疗可作为药物系统治疗的辅助手段,或用于无法手术区域的单一疗法。[38]
4.6多中心型淋巴瘤
与犬不同,多中心型淋巴瘤在猫中很少与全身性外周淋巴结肿大相关,其通常累及肝脏、脾脏及肠系膜淋巴结,最终可能浸润骨髓,且以大T淋巴细胞类型为主。[8, 38]此外,在猫中还存在一种罕见的多中心型淋巴瘤形式,鉴于与人类对应疾病的相似性,被称为猫霍奇金样(Hodgkin’s like)淋巴瘤。这种形式的淋巴瘤仅影响头、颈部淋巴结,通常只有一到两个淋巴结受累,且该淋巴瘤在表型上一般为异质性的:以淋巴细胞为主;或由淋巴样细胞和炎性细胞混合组成。[8]
多中心淋巴瘤临床症状范围广泛,可从非特异性不适如体重丢失/厌食等至急性肝功能衰竭体征。腹部X线和超声检查可能显示实质器官大小、形状和回声纹理发生改变,从而提示进行FNA的必要性。需要注意的是肝脏浸润或生化指标升高并不等同于肝衰竭——通过相应治疗可逆(确定肝功能受损时,则需减少细胞毒性药物剂量并监测指标)。[8]
若猫出现全身性淋巴结肿大且疑似淋巴瘤,则必须进行组织病理学检查确诊,以避免误诊年轻健康猫因非特异性免疫刺激引起的淋巴结肿大。在Mooney et al的研究中,一组被诊断为淋巴瘤并表现为全身性淋巴结肿大的年轻猫,其淋巴结病变会随时间消退。[43]Moore et al发现14只出现外周淋巴结肿大的 猫里,仅有一只确诊为淋巴瘤,其余13只猫的淋巴结均自发性消退。因此,如果存在任何的不确定性,建议进行临床监测和辅助检查(IHC/FeLV抗原等)。[44]
4.7肾淋巴瘤
肾淋巴瘤是猫中相对常见的肿瘤,也是影响猫肾脏最高发的肿瘤类型,患者通常为老年猫且FeLV检测呈阴性。[8]不伴其他器官/全身性受累的单纯原发性肾淋巴瘤较为少见,大多数患者至少累及一个器官系统(如消化道/多中心型等),有假设认为肾淋巴瘤与鼻腔型和CNS淋巴瘤相关,但未明确证实。[38]
大多数肾淋巴瘤由大淋巴细胞组成,可通过FNA进行细胞学检查诊断,如下图12所示;小细胞肾淋巴瘤较少,需要经组织病理学检查从而与炎性反应区分。猫肾淋巴瘤治疗通常采用药物化疗,可快速缓解氮质血症,相对完好地保留肾脏功能。需注意的是,部分肾毒性/经肾脏代谢的药物应谨慎使用:可能需延迟至通过其他治疗使肾功能指标恢复正常后再给药;或是减少药物剂量;或在给药前后进行液体治疗,减少肾脏负担。[29, 38]

图12猫肾淋巴瘤的FNA样本(可见大淋巴细胞和肾上皮细胞)[8]
4.8胃肠消化道淋巴瘤
*注:下文各类型病理、治疗方案以及生存期等数据为近10-20年多项研究的平均值,仅供大概参考,此处只作概括性叙述,具体和最新数据见下篇单开的消化道淋巴瘤详解
胃肠消化道是猫最常受淋巴瘤影响的部位,患者通常为老年且FeLV阴性猫。[29]消化道淋巴瘤可仅累及胃肠道,也有同时侵袭肠系膜淋巴结及其他腹腔器官(如肝脏)的报道。胃肠道病灶可呈弥漫性或孤立性局灶性肿块,总体依据病理特征分为三种亚型:
(1)低级别消化道淋巴瘤(LGAL)
患LGAL的猫,通常表现为体重减轻、腹泻和厌食等,且往往为慢性症状(持续存在时间超过一个月),触诊腹部时可能发现如肠壁增厚等异常。由于临床表现和组织病理学特征相似,LGAL较难与淋巴细胞浆细胞性肠炎(Lymphoplasmacytic enteritis)相区分,尤其是在疾病早期阶段,即使进行组织病理学评估,也可能出现无法区分是否为肿瘤性淋巴细胞浸润的情况。[8, 29]IHC和PARR等免疫分子技术有益于促进LGAL的诊断 。LGAL通常起源于T细胞,其病变常累及小肠黏膜,但肠壁分层结构仍存在,且具有上皮细胞亲嗜性。[29]
LGAL一般采用化疗药物治疗,如泼尼松龙、烷化剂等,手术切除局灶性肿块则未显示能改变生存期。以泼尼松龙/苯丁酸氮芥作为LGAL化疗给药方案的多项研究显示,其总MST为15 - 25个月,完全缓解率CR可达56% - 96%,可见LGAL对药物反应率高,预后良好。[29]
(2)中/高级别消化道淋巴瘤(I/HGAL)
I/HGAL患猫与LGAL临床症状相似,但症状的发作可能更为急骤且严重,一个重要的区别在于,大多数I/HGAL病例在就诊时可发现可触及肿块(局灶性肠道肿块/淋巴结、肝肾肿大等)。此外,与LGAL相比,I/HGAL猫更易发生继发性病症,如肠套叠、肠道梗阻或穿孔。I/HGAL可来源于B细胞或T细胞,病变常呈透壁性浸润,且肠壁分层结构通常不清晰或消失。与LGAL为小细胞淋巴瘤不同,I/HGAL是大细胞淋巴瘤,故可较容易的通过细胞学和组织病理学检查进行诊断。[8, 29]
I/HGAL同样一般使用化疗药物进行治疗,但对于胃肠道症状严重如存在肠梗阻时,sh手术切除可快速改善生活质量。在理想情况下,化疗应在术后肠道组织恢复及诊断确认后迅速开始(理想时间为术后5-7天,但仍需考虑个体情况差异)。对于I/HGAL而言,即使接受化疗,其患猫MST较短(一般在1至3.5个月之间),不过研究显示,达到完全缓解的(约33%的猫)的生存期MST可至7~10个月,化疗的总体反应率约为38% - 87%。近两年的研究样本里MST有所延长,但总体上与LGAL相比,其生存期较短,预后普遍不太乐观[29]
(3)大颗粒细胞淋巴瘤(LGL)
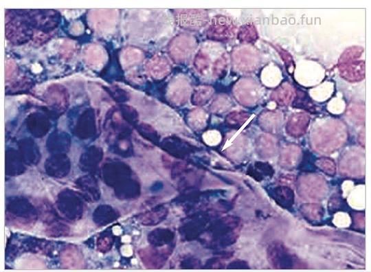
与I/HGAL相比,LGL更为凶险,是一种侵袭性极强的消化道淋巴瘤,其起源于淋巴细胞的一个亚种——大颗粒淋巴细胞。患LGL猫就诊时通常病症十分严重,临床表现与其他消化道淋巴瘤类型症状相似,只不过是PLUS版。一般而言,LGL患者通常年龄较大且FeLV阴性。LGL最常累及的部位是小肠和肠系膜淋巴结,可局部浸润至其他器官如脾脏,可能出现含肿瘤性大颗粒淋巴细胞的腹腔或胸腔积液。大颗粒淋巴细胞的胞质内含有大小不一的嗜天青颗粒,如下图所示,肿瘤性淋巴细胞大体积结合特征性的胞质颗粒使得LGL可通过细胞学检查进行明确诊断。
LGL同样采取化疗作为治疗方案,预后通常较I/HGAL更差,胸腔/腹腔积液及低蛋白血症时是LGL患猫确定的不良预后指标。Finotello et al在2018年的研究发现,LGL中位进展时间为5天,MST 21天,不过有7%的患猫生存时间> 6个月。[45]Rau et al则报道了更长的MST:9只未经其他药物治疗的LGL猫使用洛莫司汀治疗后,MST提高至129天(整体范围8-576天)。[46]
……
5.猫淋巴瘤的治疗
一些术语[47]:
应答率(Response rate,RR):是肿瘤学中评估癌症治疗方案效果的核心指标,定义为在接受特定治疗方案的一组患者中,达到预先定义“治疗反应”标准的个体所占的比例,衡量标准是指治疗后肿瘤缩小(或消失)的程度
完全缓解(Complete Remission,CR):所有可检测的肿瘤病灶100%完全消失,所有由肿瘤引起的临床症状完全消退,且至少持续一段时间。(注意:这里的消失仅证明治疗有效,各种检测如X光、超声等无法发现疾病存在的证据,但体内仍可能存在显微镜尺度的肿瘤细胞,CR≠治愈)
部分缓解(Partial Remission,PR):肿瘤病灶最长直径之和缩小至少超过30%,且未出现新的病灶
疾病进展(Progressive Disease,PD):肿瘤病灶最长直径之和增加至少超过20%,或者出现新的病灶
疾病稳定(Stable Disease,SD):肿瘤病灶的缩小程度既未达到PR的标准,其增加程度也未达到PD的标准
一般情况下,在分期完成后,可开始淋巴瘤的治疗。(当然,在确诊/分期较为困难,但已有证据高度指向淋巴瘤/患者病情严重,也可开始治疗)。猫淋巴瘤已经确定的积极预后因素包括患病解剖位置(鼻腔等)、对治疗的反应、I期疾病、诊断时为亚期a相较于亚期b以及FeLV阴性状态。手术、放疗以及化疗是治疗猫淋巴瘤的三种主要方式,其他还包括靶向/免疫治疗等,可单独(单模式治疗)或联合(多模式治疗)使用。淋巴瘤通常为多系统性疾病,因此一般需全身性细胞毒性药物治疗。对于无全身性病变,疾病仅限于局部病灶(如鼻腔/眼部等),手术或放疗可作为一线治疗方案。但单纯手术/放疗等局部治疗可能难以实现长期疾病控制,故若复发或疾病出现全身性进展,后续仍可能需联合化疗应对。
5.1手术
猫淋巴瘤通常属于全身性疾病,因此系统疗法是最佳治疗方案。手术常用于获取诊断组织样本,也可用于缓解肠梗阻,但其对动物生存期似乎没有积极的影响。若肠系膜淋巴结受累或存在组织粘连,常导致难以/无法实施切除手术,但若不进行手术切除,化疗后孤立病灶存在破裂的风险。总的来说,手术治疗除了取样,仅用于孤立性肿块或急需提高动物生活质量时。
5.2放疗(Radiation therapy)
5.2.1传统放疗(Conventional Fractionated Radiotherapy,CFRT)
(1)原理
淋巴瘤细胞具有较高的放射敏感性,因此对于某些局部性淋巴瘤,传统分割放疗是一种有效的治疗方式,如鼻腔、脊柱、颅内淋巴瘤等。[11]对于已经全身性转移的肿瘤,需与化疗联合治疗。放疗利用高能射线(如光子/伽马射线)照射穿透肿瘤区域,其治疗原理5Rs如下[11, 48-50]:
①放射敏感性(Radiosensitivity)和修复(Repair)
i射线直接作用于肿瘤细胞的DNA,导致DNA链断裂/出现碱基损伤,使其失去增殖能力,凋亡;
ii射线使细胞内的水分子电离,产生高活性的自由基,攻击DNA等关键生物分子,引起致命损伤;
iii与大多数正常健康细胞相比,淋巴瘤细胞增殖迅速,分裂活跃,其DNA在复制和分裂其更为暴露和脆弱,因此较于其他处于相对静止状态(G0期)的健康成熟细胞,淋巴瘤细胞对射线异常敏感。此外与健康细胞功能成熟,在受到损伤后优先修复辐射损伤。而淋巴瘤细胞多存在DNA修复机制障碍/缺陷,修复速度更慢,在多次放疗后,损伤持续累积,最终走向凋亡。需要注意的是,如果两次放疗间隔过长,最终肿瘤细胞同样能够完成损伤DNA修复,因此需要合理规划放疗周期和单次剂量;
iv肿瘤细胞对特定分剂量的固有敏感性各有差异。例如,犬源细胞系的体外实验和临床经验显示,黑色素瘤和淋巴瘤等具有较高的固有放射敏感性;相反,猫口腔鳞状细胞癌的固有敏感性则较低;
②再增殖(Repopulation)指在一次放射治疗后,特定肿瘤或正常组织细胞的复制过程。每次分割治疗之间,正常组织细胞有足够的时间补充其数量,再增殖是正常组织耐受放疗的重要机制,对于大多数肿瘤细胞,其再增殖能力较弱。然而,在人医中,头颈部鳞状细胞癌在常规放疗疗程超过6周时,会出现“加速再增殖”的现象,即放疗时间的延长会矛盾地诱导癌细胞随治疗的进行反而以更快的速度增殖,从而致使治疗失败;
③再分布(Redistribution)描述了不同癌细胞在细胞周期各阶段的动态变化特征。在整个细胞周期中,G2和M期是对由放疗所致细胞死亡最敏感的时期。分次放疗通过以下两种方式利用上述的敏感阶段:i分次给予多次放射,增加了细胞处于G2/M期击中它的概率;ii分割改变了癌细胞分裂的动力学,使得在单次放疗后存活的癌细胞的细胞周期更同步化,从而增加后续放疗中在G2/M期击中这些细胞的机会,癌细胞死亡↑;
④再氧合(Reoxygenation)是指在放疗后肿瘤体积缩小,与血供的距离减小,从而氧气供应↑。这一机制非常重要:由于肿瘤由异常、迂曲且结构紊乱的血管构成,常存在严重缺氧的区域。缺氧是导致放疗抵抗的重要因素,在相同的放疗剂量下,富氧细胞的对射线的敏感性是缺氧细胞的2.5-3.5倍。当肿瘤组织距离血供大于70μm(氧气可扩散的最大距离)时,部分内部组织出现缺氧现象。分次放疗每次都会杀死部分肿瘤组织,肿瘤体积逐渐缩小,由此形成更趋常氧的内部微环境,实现再氧合,进而增强肿瘤对后续放疗的敏感性;
放疗治疗时应精准照射,将辐射剂量集中到肿瘤区域,最大化杀伤肿瘤细胞,并采用分次照射(将总照射剂量分成几次完成,按单次照射剂量和治疗周期长短分为大分割和常规分割两类方案),如患者被处方总剂量20Gy,按每次4Gy的分割方案进行,则该处方为4Gy×5次分割。在每次照射的间歇时期,正常细胞利用这段时间修复损伤(8-10hs),而淋巴瘤细胞在短时间内则无法恢复,积累损伤,整个过程的治疗目标是尽可能精确的杀死癌细胞,同时将周围组织受到的损伤最小化。[48, 49]
(2)治疗流程
为确保治疗精准,在放疗前通常会使用MRI/CT等影像学从而确定肿瘤的位置和范围。每次治疗时需对猫进行麻醉,使其保持静止状态,以便辐射设备(如直线加速器)精准照射肿瘤。放疗的具体时间和强度,取决于个体诊断结果和对初始治疗的反应。通常在几周内分多次进行,每次照射时间一般仅持续几分钟。[48]放疗对鼻腔淋巴瘤最为有效,CR的比例达到75%-100%,单独放疗MST可达15-30个月。[11, 51]研究表明,大分割方案(如每周一次,持续3-6次)可能与小分割/常规根治性方案(每天一次,持续16次)有效性相当。[11]

图13因鼻腔肿瘤进行放疗的患者[49]
(3)副作用与局限性
I副作用
尽管放疗能有效破坏异常细胞,但由于射线的物理特性,射线沿途的正常组织细胞也难免受到影响。副作用因治疗部位而异,如皮肤反应(发红、干燥、瘙痒及脱毛等),口腔与鼻腔反应(治疗部位在头颈部可能出现口腔黏膜炎、流鼻涕等)、食欲不振etc,不过此类副作用通常为急性反应但是可逆可自行修复的。[48]
相比之下,放疗的晚期副作用(late side effects)具有不可逆性且为剂量限制性毒性。此类副作用不可逆,无法自行消退/愈合且可能危及患者生命,常见于骨骼、神经和肌肉,具体表现为骨坏死、管状器官狭窄或穿孔以及继发性癌症。晚期放疗副作用可能在放疗结束6个月~一年或更长时间后出现。鉴于其危险性,需合理规划放疗方案和选择分割剂量,以规避晚期副作用。[49]
II局限性
●贵,最起码5w+是要的,次数多10w不是梦,不过前留子表示对比起欧美,性价比还是挺高的
●拥有相关设备的医院少,通常为大型中心医院,放到国内的场景就是只有北京和上海
5.2.2姑息性放疗(Palliative Radiotherapy,PRT)
常规姑息性放疗的的目标是在不施加会引起具有临床意义的急性副作用辐射总剂量的前提下,缓解症状,提高生活质量,而非实现局部肿瘤的控制。通常为低剂量治疗,每周一次,持续4-7周。[49]
5.2.3立体(体部)定向放射治疗(Stereotactic Radiotherapy/ Stereotactic Radiosurgery / Stereotactic body Radiotherapy,SRT/SRS/SBRT)
立体定向放射治疗可分为三类,不同类别在适应症范围,分次模式和质量要求几个方面各有差异,如下[52]:
●立体定向放射外科(SRS):用于治疗颅内恶性/良性肿瘤以及功能性或血管性病变,采用单次照射;
●分次立体定向放射治疗(SRT):用于治疗颅内恶性/良性肿瘤及功能性/血管性病变,采用分次照射;
●立体定向体部放射治疗(SBRT):用于治疗颅外恶性/良性肿瘤及功能性/血管性病变,针对体部肿瘤,如肺癌、肝癌等等
与传统放疗相比,SRT具有消融性,其原理为以极高的精度和准确度将高剂量辐射集中于明确定义的肿瘤靶区,在摧毁肿瘤的同时最大程度地避开周围正常组织。单次剂量高(≥6-8Gy),在单次或少数几次治疗中完成(通常为1-5天),主要用于根治或局部高剂量消融可见肿瘤,特别适用于位置固定、边界清晰、体积相对较小的肿瘤(较大的肿瘤难以在整个体积内均匀的接收处方辐射剂量,基本无法实现完全消融,但可获得姑息性疗效)。为实现亚毫米级精度、安全的立体放射治疗,SRT需要影像引导(CT)、机器人定位床、全身麻醉、刚性固定装置以及高适形度的束流成形技术等,以最大可能的降低放疗晚期副反应(单次照射剂量高,如若偏离靶区,极易对正常组织造成不可逆损伤)。[49, 52]
非常遗憾,国内目前还没有能做SRT的,能做传统放疗的也只有北上两个城市,当然这里指动医,人医上SRT从上世纪90年代在临床上就开始得到应用。不过无论人医动医,在高尖端医疗上与欧美还是存在差距的,只能期待近几十年有所发展了
5.3传统化疗(Chemotherapy)
猫淋巴瘤多为全身性疾病,因此化疗通常为多数解剖类型淋巴瘤的首选治疗方案。据报道,猫淋巴瘤对化疗的平均应答率(Response Rate,RR)在26-79%,较犬淋巴瘤的80-%-90%低,治疗总体反应率低于犬,但同时,在获得CR的猫中,有30%-40%的患者可实现两年甚至更长时间的CR。经过一段持续的缓解期后,通常可以停止长期的维持性化疗,猫随后可在无病状态下存活。因此,与犬相比,尽管获得缓解的猫比例更低,但是在获得CR的群体中,猫在不进行化疗的情况下维持持久CR的比例更高。[11, 53]
猫化疗根据时期可分为一线治疗(First-line treattment)和挽救疗法(Rescue Treatment):一线治疗为确诊后初始/首选的标准治疗方法,一般采用临床大量验证、最通用常见的药物方案,力求获得首次最佳化疗应答率;而挽救疗法是指在一线疗法失败/无效疾病进展,或缓解状态丧失疾病复发,后续为尝试重新获得缓解而采取的治疗方案。采用的药物通常更为多样、强度剂量更高、副作用通常更明显,且可能使用新型/实验性、一线从未用过的药物。缓解率通常更低,缓解时间往往较短。化疗最佳方案受多种因素影响(不同疾病解剖部位、FeLV感染状态、亚分期…),个体用药存在一定差异,但目前较为统一的结论是:在诱导首次缓解时多药物联用方案比单药物更有效。[53]
常见猫化疗药物(一线和挽救疗法药物)相关介绍如下表所示(仅为简单列举,请勿擅自给患者服用,副作用大且需定期监测指标,遵医嘱遵医嘱遵医嘱!)



表5常见猫淋巴瘤化疗药物[47, 54]

表6 常见化疗方案[53, 55-57]
化疗药物的单次给药剂量和给药周期可通过体表面积BSA等计算,遵医嘱就好,此处不再展开
5.4其他疗法
实际临床上对于猫淋巴瘤目前的主流方案还是传统化疗/放疗,以下仅为未来可能出现的新疗法简介,其他肿瘤可能有使用到这些治疗方案/药物,有需要的可自行阅览对应ref等
◆节拍化疗(Metronomic Chemotherapy):与传统化疗间歇性使用最大耐受剂量给药不同,节拍化疗持续低剂量给药,通常为每日/隔日一次口服,由宠主在家执行,但目前相关研究仍不完善,在犬类研究较多,猫中的数据较少,通常不作为首选。[58】
◆靶向治疗(Target Therapy):通过特异性识别并攻击肿瘤细胞特有的分子靶点,来抑制肿瘤的生长,同时最大程度的减少对正常细胞的损伤,不过猫肿瘤的分子特征相关研究远少于人和犬,仍需进一步研究。目前常见的猫靶向治疗药物如帕拉丁(洛氨酸激酶抑制剂,常用于治疗猫肥大细胞瘤etc)等[47, 59]
◆免疫疗法(Immunotherapy):利用动物自身的免疫系统,识别、攻击和清除肿瘤细胞,如犬黑色素瘤疫苗,犬自体疫苗(APAVAC®)+CHOP联合治疗犬B淋巴细胞瘤等.[47, 60]
5.5化疗常见不良反应与支持性治疗(Supportive care)
(1)不良反应
总体上,猫对化疗的耐受良好,但仍可能发生以下副作用[53]:
①厌食症:胃肠道不适在猫常表现为食欲减退,可能伴有/不伴有其他症状;
②骨髓抑制:应定期进行血液学监测骨髓抑制(常出现中性粒细胞、血小板计数下降)。每次治疗前,以及在任何时候患者无故出现全身不适时,都应获得可靠的全血细胞计数和白细胞分类计数,根据数值选择对应的处理方案(如下表)。一般来说,大多数轻度中性粒细胞减少病理可在短时间内自行恢复;

表7化疗与中性粒细胞减少症[53]
③肾毒性:如多比柔星具有肾毒性,对于肾功能不全患者应减少肾毒性药物和依赖肾脏清楚药物的剂量;
④脱毛:接受化疗的猫很少出现全身脱毛,但可能出现胡须脱落。也偶见全身被毛变化,如毛发变稀疏、毛色变淡等,一般是可逆的;
⑤急性肿瘤溶解综合征:发病机制与肿瘤细胞内成分快速释放,导致突然失代偿和电解质紊乱。肿瘤符负荷大、生长分数高及已存在肾功能不全的猫存在风险。建议对此类猫进行住院治疗、液体疗法、电解质监测和分阶段诱导化疗
(2)常见必需支持性治疗[53]
①高质量、适口性佳的饮食;
②食欲刺激。赛庚啶1-2mg/cat每日1-2次(其他可能可使用的食欲刺激剂包括卡莫瑞林、米氮平等),遵医嘱使用;
③流涎/厌食(伴/不伴呕吐)的止吐药;
④辅助(管饲)喂养;
⑤干预/预防便秘的泻药;
⑥液体治疗;
⑦以下症状的针对性治疗
—高钙血症;
—氮质血症;
—中性粒细胞减少症/败血症;
—发热;
—镇痛;
6.Reference
[1]Vail DM, Thamm DH and Liptak JM.Withrow & MacEwen's Small Animal Clinical Oncology (6th edition).W.B. Saunders.2020, p688-689.
[2]Britannica Editors. "oncogene". Encyclopedia Britannica, 2025,.Available at:https://www.britannica.com/science/oncogene. Accessedat Nov 20,2025.
[3]BeattyJ.Viralcausesof felinelymphoma:Retrovirusesandbeyond.Vet J.2014, 201(2), 174-180.
[4]Updates in the diagnosis andmanagement of feline leukemiavirus (FeLV).Available at:https://www.aaha.org/wp-content/uploads/globalassets/02-guidelines/feline-life-stage-2021/resources/update-into-the-diagnosis-and-management-of-feline-leukemia-virus--felv.pdf. Accessed at Nov, 25, 2025.
[5]Vezzali.E, et al.Histopathologic classification of 171 casesof canine and feline non-Hodgkinlymphoma according to the WHO.Veterinary and Comparative Oncology.2009, 8, 1, 38-49.7
[6]Richter. PK.Feline gastrointestinal lymphoma.Vet Clin Small Anim.2003, 33, 1083-1098.
[7]Hardy WD, et al. Hematopoietic tumors of cats. J Am Anim Hosp Assoc.1981,17,921-940.
[8]TwomeyLN,AllemanRA.Cytodiagnosis of Feline Lymphoma. Compendium. 2005, 27.
[9]LouwerensM, et al.Feline Lymphoma in the Post–Feline Leukemia Virus Era.J Vet Intern Med.2005,19,329–335.
[10]Economu.L, Stell.A, et al. Incidence and risk factors for feline lymphoma in UK
Primary-care practice. Journal of Small Animal Practice. 2021, 62, 97 - 106.
[11]Ettinger NS.Principles of Treatment for Feline lymphoma. Clinical Techniques in Small Animal Practice. 2003, 18(2), 98-102.
[12]BarrsV,BeattyJ.FELINE ALIMENTARY LYMPHOMA1. Classification, risk factors,clinical signs and non-invasivediagnostics.Journal of Feline Medicine and Surgery.2012,14,182–190.
[13]SykesJE,HartmannK, et al.Greene's Infectious Diseases of the Dog and Cat (Fifth Edition).W.B. Saunders.2021, p224-238.
[14]IrvingJ, et al.Feline alimentary lymphoma:a guide to cytological andhistopathological diagnosisfor the general practitioner. Companion animal.2019, 24(9), 466-471.
[15]VersteeghH,ZandvlietMMJM, et al.Feline Lymphoma: Patient Characteristics and ResponseOutcome of the COP-Protocol in Cats with MalignantLymphoma in The Netherlands. Animals. 2023, 13, 2667.
[16]LiW, LiY, CaoL,et al.Epidemiological survey of cat infectious diseases in China from 2022 to2023.Animals and Zoonoses.2025,243–253.
[17]Mahony OM, Moore AS, Cotter SM, et al.Alimentary lymphoma in cats: 28 cases (1988–1993). JAVMA.1995,207(12),1593-1598.
[18]Rojko JL, Kociba GJ, Abkowitz JL, et al.Feline lymphomas: Immunological and cytochemical characterization. Cancer Res.1989,49(2),345–351.
[19]Hoover EA, Mullins JI.Feline leukemia virus infection and diseases. JAVMA.1991,199(10),1287–1297.
[20]Essex.M, et al. Leukemia Specific Antigens: FOCMA and Immune Surveillance.Haematol Blood Transfus. 1979, 23, 453-486.
[21]Francis DP, Cotter SM, et al.Comparison of Virus-positive and Virus-negative Cases of FelineLeukemia and Lymphoma.Cancer Research. 1979, 39, 3866-3870.
[22]SykesJE,HartmannK, et al.Greene's Infectious Diseases of the Dog and Cat (Fifth Edition).W.B. Saunders.2021, p209-223.
[23]Shelton GH, Grant CK, Cotter SM, et al. Feline immunodeficiency virus and feline leukemia
virus infections and their relationships to lymphoid malignancies in cats: A retrospective
study (1968–1988). J Acquir Immune Defic Syndr Hum Retrovirol 1990,3,623–630.
[24]Paulin MV,CouronnéL, Beguin J, et al.Feline low-grade alimentary lymphoma: anemerging entity and a potential animalmodel for human disease.BMC Veterinary Research. 2018,14,306.
[25]Farinha P, Gascoyne RD. Helicobacter pylori and MALT lymphoma.Gastroenterology. 2005,128,1579–1605.
[26]Wang F, Meng W, Wang B, Qiao L. Helicobacter pylori-induced gastric
inflammation and gastric cancer. Cancer Lett. 2014,345,196–202.
[27]Bridgeford EC, Marini RP, Feng Y, et al. Gastric Helicobacter species as a cause
of feline gastric lymphoma. Vet Immunol Immunopathol.2008,123,106–113.
[28]GiegerT.Alimentary Lymphoma in Cats and Dogs.Vet Clin Small Anim.2011, 41,419–432.
[29]Mason S, Pittaway C.Feline lymphoma: diagnosis,staging and clinical presentations. In Practice.2022, 44(1), 4-20.
[30]Menon SS, Guruvayoorappan C,SakthivelKM, et al.Ki-67 protein as a tumourproliferation marker.Clinica Chimica Acta.2019, 491,39–45.
[31]Cell Cycle Phases and Checkpoints. Available at:https://sciencenotes.org/cell-cycle-phases-and-checkpoints/. Accessed at: Dec 1, 2025.
[32]Kehl A,TörnerK, Jordan A, et al.Pathological Findings in Gastrointestinal Neoplasms and Polyps in 860 Cats and a Pilot Study on miRNA Analyses.Vet. Sci. 2022, 9, 477.
[33]NielsenTO,LeungSCL, Rimm DL, et al.Assessment of Ki67 in Breast Cancer: Updated Recommendations Fromthe International Ki67 in Breast Cancer Working Group.JNCI J Natl Cancer Inst.2021,113(7), 808-819.
[34]MarsilioS, Freiche V, Johnson E, et al.ACVIM consensus statement guidelines on diagnosing anddistinguishing low-grade neoplastic from inflammatorylymphocytic chronic enteropathies in cats.J Vet Intern Med. 2023,37,794–816.
[35]BarrsV,BeattyJ.FELINE ALIMENTARY LYMPHOMA2. Further diagnostics,therapy and prognosis.Journal of Feline Medicine and Surgery.2012,14,191–201.
[36]Marsilio S. Feline chronic enteropathy.Journal of Small Animal Practice.2021,62, 409–419.
[37]Kiupei M, Smedley RC, Pfent C, et al.Diagnostic Algorithm to Differentiate
Lymphoma From Inflammation inFeline Small Intestinal Biopsy Samples.Vet Pathol. 2011, 48, 212-222.
[38]HayesA.Feline lymphoma2. Specific disease presentations. In Practice. 2006, 28, 578-585.
[39]Fabrizio, F, Calam, AE, Dobson, JM, et al.Feline mediastinal lymphoma:
a retrospective study of signalment, retroviral status, response tochemotherapy and prognostic indicators. Journal of Feline Medicineand Surgery. 2014,16, 637–644.
[40]SantagostinoSF, MortellaroCM, BoracchiP,et al.Feline upperrespiratory tract lymphoma: site, cyto-histology, phenotype, FeLVexpression, and prognosis. Veterinary Pathology. 2015,52, 250–259.
[41]WiggansKT, SkorupskiKA, ReillyCM,et al.Presumed solitary intraocularor conjunctival lymphoma in dogs and cats: 9 cases (1985–2013).Journal of the American Veterinary Medical Association. 2014,244, 460–470.
[42]LimmerS, EberleN, NerschbachV,et al.Treatment of feline lymphoma using a 12-week, maintenancefree combination chemotherapy protocol in 26 cats. VeterinaryComparative Oncology. 2016,14, 21–31.
[43]MooneySC, PatnaikAK, HayesAA, et al.Generalized lymphadenopathy resemblinglymphomain cats: six cases (1972-1976). Journal of the American VeterinaryMedical Association.1987,190, 897-900.
[44]MooreFM, EmersonWE, CotterSM, et al.Distinctive peripheral lymph node hyperplasia of youngcats. Veterinary Pathology. 1986,23, 386-391.
[45]ElliottJ,FinotelloR.A dexamethasone, melphalan,actinomycin-D and cytarabine chemotherapy protocol as a rescuetreatment for feline lymphoma. Veterinary ComparativeOncology. 2018,16,144–151.
[46]RauSE,BurgessKE.A retrospective evaluation oflomustine (CeeNU) in 32 treatment naïve cats with intermediateto large cell gastrointestinal lymphoma (2006–2013). VeterinaryComparative Oncology.2017,15, 1019–1028.
[47]ChristensenJ, Johnson K, Ettinger S, et al.AAHA Oncology Guidelines for Dogs and Cats.J Am Anim Hosp Assoc.2026,62,1–37.
[48]A Novel Treatment for FelineGastrointestinal Lymphoma:Radiation Therapy. Available at:https://todaysveterinarynurse.com/wp-content/uploads/sites/3/2025/03/TVN-2025-02_Radiation-Therapy_Lyphoma.pdf. Accessed at: Jan 5, 2026.
[49]Conventional Versus Stereotactic Radiotherapy.Available at:https://todaysveterinarypractice.com/oncology/conventional-versus-stereotactic-radiotherapy/. Accessed at: Jan 5, 2026.
[50]Hall EJ, Giaccia AJ.Radiobiology for the Radiologist. 8thed. Wolters Kluwer. 2019.
[51]ReczynskaAI, LaRue SM, Boss MK, et al.Outcome of stereotactic body radiation fortreatment of nasaland nasopharyngeal lymphoma in 32 cats.J Vet Intern Med. 2022,36,733–742.
[52]Guckenberger M, Baus WW, Blanck O, et al.Definition and quality requirements forstereotactic radiotherapy:statement from the DEGRO/DGMP Working GroupStereotacticRadiotherapy and Radiosurgery.Strahlenther Onkol.2020,196,417–420.
[53]Hayes A.Feline lymphoma1. Principles of diagnosisand management.In Practice. 2006, 28, 216-524.
[54]兽药手册(第七版)p72, 177, 235, 243, 264, 323, 562, 579, 598, 544, 762, 774.
[55]Anna LPY, Horta R, Sze CN, et al.Use of Cyclophosphamide, Vincristine, Prednisoloneand Vinblastine for the Treatment of Large CellLymphoma in Cats.Journal of Veterinary Internal Medicine.2025,39,e70066.
[56]Krupla A, Vos J, Eetvelde, LV, et al.Pegylated asparaginase in feline
high-grade lymphoma: clinicalresults of single injection andcontinued incorporation intoa modified COP regimen.Journal of Feline Medicine and Surgery.2022, 24(8),203–213.
[57]AkiyoshiM,AkiyoshiM.A case of feline large granular lymphocyte lymphoma with
complete remission and long survival by surgical resection andadjuvant nimustine administration.Vet Med Sci. 2021,7,2103–2107.
[58]Petrucci GN,MagalhãesTR, Dias M, et al.Metronomic chemotherapy:bridging theory to clinicalapplication in canine and felineoncology.Front. Vet. Sci.2024,11,1397376.
[59]Gameiro A, Urbano AC, Ferreira F.Emerging Biomarkers and Targeted Therapies in FelineMammary Carcinoma.Vet. Sci. 2021,8, 164.
[60]MarconatoL, Aresu L, Stefanello D, et al.Opportunities and challenges of activeimmunotherapy in dogs with B-celllymphoma: a 5-year experience in twoveterinary oncology centers.Journal for ImmunoTherapy of Cancer.2019,7,146-155.
交流列表