本文为猫淋巴瘤的简要介绍(分类分期、解剖部位、诊断手段、治疗方案等等),旨在初步了解该疾病特点,后文会对近年猫淋巴瘤中最常见的消化道淋巴瘤作详细阐述
整体内容包括:
1.淋巴瘤概述
2. 分类、分期和临床症状
3.诊断
4.按解剖位置分型
5.治疗方案
本文由于篇幅原因,分为(1)(2)两篇,ref在(2)文末
谁懂,破防了,这是我第三次编辑同样的内容了,第一次图片传着传着传不上来,第二次即将上传哗啦鼠标划了删除了前大半,这糟心的网页版,后续考虑用别的……
1.淋巴瘤概述
一些术语:
*造血系统肿瘤(Hemopoietic Neoplasm):也可被称为恶性血液病或血癌,是一大类起源于造血组织(骨髓和淋巴系统)的恶性肿瘤,包括白血病、骨髓瘤和淋巴瘤等多种类型,其特征是血细胞不受控制的异常增殖,从而破坏正常的血液功能。[1]
*原癌基因(Proto-oncogene)与癌基因(Oncogene):原癌基因是一组发生突变后可使正常细胞癌变的基因,其突变版本即为癌基因。原癌基因编码的蛋白质功能与细胞正常生长、分裂、分化以及阻止细胞死亡有关,癌基因则会导致这些蛋白过度表达,细胞增殖异常,如图1 所示
![【科普】[养猫笔记08] 猫淋巴瘤(Feline Lymphoma)概述(1) - 线报酷 【科普】[养猫笔记08] 猫淋巴瘤(Feline Lymphoma)概述(1) - 线报酷](https://new.xianbao.fun/plus/api/image.php?imgurl=https://img2.doubanio.com/view/group_topic/m/public/p719459595.jpg)
图1 原癌基因(细胞正常分裂)vs癌基因(细胞分裂不受控制,形成肿瘤)[2]
*FeLV病毒感染[3,4]:
根据年龄、健康状况和免疫状态,感染可分为以下三种情况:
顿挫性感染(Abortive infection)
猫免疫系统非常强大,在前病毒proviral DNA整合到宿主细胞基因组之前就已经将其完全清楚;
PCR/抗原检测均为阴性,但存在FeLV抗体;
退行性感染(Regressive infection)
猫免疫系统在出现继发性病毒血症前已控制住感染的扩散,病毒复制被抑制,但proviral DNA可能潜伏于感染细胞中,当猫出现免疫抑制时,可能重新转为进行性感染;
排毒和FeLV相关疾病风险较低;
抗原检测通常为阴性(可能短暂阳性),PCR阳性(<1 × 10^ 6copies/mL);
部分退行性感染的猫可能产生有效的免疫应答,最终甚至达到PCR+抗原均为阴性的状态;
进行性感染(Progressive infection)
病毒活跃复制,已发生骨髓感染并出现继发性病毒血症;
排毒和FeLV相关疾病风险高;
抗原阳,PCR阳((≥1 × 10^6 copies/mL);
1.1定义及流行病学
(1)相关定义
造血系统肿瘤是犬猫常见的肿瘤疾病之一,据统计约为所有猫肿瘤的1/3,其中,淋巴瘤(Lymphoma)占整体的50%-90%,是家猫最高发的自发性造血肿瘤。[5-7]淋巴瘤是指淋巴细胞在实体组织如淋巴结、内脏器官脾脏等和骨髓中的恶性转化和克隆性增殖,存在多种解剖学类型且发病率各有不同,如纵膈型、胃肠消化道型、鼻腔型等(具体见下文)。[8]
(2)发病率、分布
流行病学研究显示,猫淋巴瘤的发病率高于其他物种,大约为200/每100000
1.2风险因子
1.2.1感染因素
(1)逆转录病毒感染(Retrovirus infection)
I FeLV(猫白血病病毒)
FeLV分属逆转录病毒的肿瘤病毒亚科(γ逆转录病毒属),由单链RNA,核蛋白、包膜蛋白及逆转录酶组成,结构如下图所示,该病毒容易被灭活,其经母婴或唾液、粪便传播通过长时间亲密接触实现,包括撕咬、舔舐、理毛、共享食/水碗猫砂盆等。[11,12]
![【科普】[养猫笔记08] 猫淋巴瘤(Feline Lymphoma)概述(1) - 线报酷 【科普】[养猫笔记08] 猫淋巴瘤(Feline Lymphoma)概述(1) - 线报酷](https://new.xianbao.fun/plus/api/image.php?imgurl=https://img2.doubanio.com/view/group_topic/m/public/p719459753.jpg)
图2 FeLV结构示意图(Reverse transcriptase:逆转录酶,Intergrase整合酶)[13]
作为一种具有直接致癌性的病毒,FeLV在侵入宿主细胞(骨髓中的造血前体细胞、淋巴细胞等)后在逆转录酶的作用下以自身RNA链为模板合成前病毒proviral DNA,随后,proviral DNA通过病毒整合酶插入到宿主细胞的基因组中,利用宿主细胞进行表达组装,并在成熟后释放至细胞外。[4]上述的proviral DNA整合位点相对随机,当其恰好插入到原宿主细胞的原癌基因附近时,可能激活相关基因使其表达异常,直接导致细胞失控性增殖或癌变。(通常单一的proviral DNA整合不足以导致细胞发生癌变,但一段时间后病毒增殖多次整合,则可能引起足够的DNA损伤进而引发细胞恶性转化).[3,8,11]因此,FeLV是诱发淋巴瘤的主要风险因子之一,携带该病毒猫的淋巴瘤患病风险至少增加60倍。[9,14]FeLV相关淋巴瘤一般起源于T细胞谱系,且通常在年轻猫(2-4岁)中引起外周型/多中心型、纵隔型、神经以及眼淋巴瘤。[9,15]
![【科普】[养猫笔记08] 猫淋巴瘤(Feline Lymphoma)概述(1) - 线报酷 【科普】[养猫笔记08] 猫淋巴瘤(Feline Lymphoma)概述(1) - 线报酷](https://new.xianbao.fun/plus/api/image.php?imgurl=https://img2.doubanio.com/view/group_topic/m/public/p719459797.jpg)
图3 2022-2023中国14个省份传染病毒阳性率及分布情况(红框:FeLV)[16]
正如前文所说,随着有效检测、疫苗接种以及根除计划的开展和普及,21世纪初FeLV感染率下降至5-14.5%(检测方法PCR/IHC),不同类型淋巴瘤患者中FeLV阳性率广泛下降。(这是发达国家的数据,2022-2023年一项涵盖中国14个省样本量为1828的猫传染病流行病学研究显示,FeLV PCR检测阳性率为53.06%,如图3所示,u1s1好像国内确实没有普及过FeLV疫苗).[9,10,16]需要注意的是,FeLV感染情况评估受病毒检测方法的影响,与PCR相比,免疫组化IHC仅能识别病毒大量复制时期的感染,因此可能会出现“假阴性”的结果,低估淋巴瘤猫中的阳性率—即FeLV实际可能与血清看似“阴性”猫的淋巴瘤相关。研究人员在FeLV血清阴性淋巴瘤患猫的细胞基因组内检测到proviral DNA,这表明,即使病毒处于非复制的静止潜伏状态,也可能引起恶性转化,但此时血清检测结果为阴性。[8,17-19]此外,还有一部分猫的肿瘤组织检测不到proviral DNA序列(PCR阴/核酸杂交探针未识别到病毒DNA),但检测到其淋巴瘤细胞表达猫肿瘤病毒特异性抗原FOCMA,这表明动物曾有过FeLV暴露史但未发生明显感染——FeLV仍有概率为猫淋巴瘤的发生提供了起始事件(这并不意味着FeLV是淋巴瘤发生的必要条件,也就是说,对于血清阴性但能检出FOCMA的淋巴瘤猫,可能存在两种类型:与FeLV有关或无关)[3,6,20,21]
II FeSV(猫肉瘤病毒)
FeSV是FeLV的“缺陷变异病毒”或“杂交体”,它并非来自外界,而是在已经感染了FeLV的猫体内,由FeLV遗传物质与猫自身的细胞基因组发生整合重组后“偶然”形成的,且其复制依赖FeLV。FeSV主要导致纤维肉瘤,此处不做详解.[21]
III FIV(猫免疫缺陷病毒)
与人HIV相似,FIV分属逆转录病毒的慢病毒属,结构均为有包膜的单链RNA病毒。[11]与FeLV不同的是,其除通过母婴垂直传播外,主要传播途径(90%以上)为深度咬伤(如猫打斗、撕咬行为),导致唾液中高浓度的病毒通过伤口直接进入血液,密切接触(如共用食/水碗等)通常不会造成传播。[3,11]
作为逆转录病毒,FIV侵入并在宿主体内进行增殖的方式相似,但存在以下几点不同:①攻击细胞类型不同:FIV攻击对象为免疫细胞(主要靶向CD4+T淋巴细胞,也攻击CD8+T细胞、巨噬细胞等);遗传物质整合方式和“位置偏好”不同:FIV的整合过程并非完全随机,其更倾向于将自身DNA整合至宿主基因组转录活跃的区域。以上差异最终导致两者在致癌原理不同[3,22]:
- FIV可在宿主体内高效建立持续性潜伏感染,但通常不会直接破坏原癌基因引起细胞恶性转化;
- 与直接诱发细胞癌变的FeLV相比,FIV主要攻击CD4+T淋巴细胞等免疫细胞,缓慢地削弱免疫系统,降低相关功能和细胞数量(免疫抑制),使其无法及时识别和清除体内自然产生的癌变细胞,随着时间积累,发展为肿瘤的概率逐渐增加.
因此,与FeLV相比,FIV的致癌路径是间接和漫长的,感染猫患淋巴瘤的风险增幅较FeLV低(约5-6倍)。[9]与FIV相关的淋巴瘤倾向于是结外,高级别和B细胞表型,且通常为中老年猫。[12]虽然同样对家猫进行了大规模的检测,与FIV相关的淋巴瘤发病率并未有太大变化,这可能是由于该病毒的感染群体画像多为outdoor cats或流浪猫[9]
此外,有研究认为,FeLV和FIV可能具有协同作用,Shelton et al发现:与逆转录病毒阴性的猫相比,感染FIV,FeLV以及同时感染FIV和FeLV的猫淋巴瘤相关风险分别增至5.6,62.1,77.3倍。[23]
IVFcaGHV1(泛嗜淋巴细胞性猫伽马疱疹病毒1型)
至少1/4的猫感染FcaGHV1,人医在某些淋巴瘤例中检测到两种人类伽马疱疹病毒,因此推测FcaGHV1可能具有相似的致病作用是合理的。不过,目前为止证据尚不明确,各研究结果之间存在差异.[24]
(2)细菌感染
幽门螺杆菌属(Helicobacterspp.)
近二十年来,细菌(尤其是幽门螺杆菌等)在肠道黏膜的定植因慢性抗原刺激被认为可能与胃肠消化道癌症的发展有一定关联。[24]在人医中,幽门螺杆菌感染与腺癌和黏膜相关淋巴组织(MALT)淋巴瘤的发生有密切关系。[25,26]
一项研究的结果发现,在n=24只患胃淋巴瘤的猫的胃活检样本中,16只海尔曼螺杆菌检测呈阳性,这或许意味着海尔曼螺杆菌菌株可促进猫胃淋巴瘤的发生,故使用抗生素染根除该细菌可能有助于缓解或阻止潜在肿瘤进展,不过确切证据尚匮乏,待进一步研究。[27]
(3)慢性炎症
猫肿瘤多发生于受慢性炎症影响的器官或者部位,例如,有研究推测慢性炎性肠病可能是猫胃肠消化道肿瘤潜在的促进因素;疫苗佐剂引发的局部慢性炎症在诱导纤维肉瘤的作用上已有报道(值得注意的是,发生疫苗注射部位肉瘤(FISS)的猫,治疗后患淋巴瘤的风险会显著提高)。[9,24]不过,迄今为止,未有明确证据证实慢性肠炎会直接导致消化道淋巴瘤的发生,相关机制和因果关系仍有待阐明。(至于IBD和消化道淋巴瘤会在下一篇笔记?详细阐述)
(4)其他因素
I环境因素:
①慢性烟草烟雾暴露:
香烟烟雾的直接致癌性结合猫习惯理毛的特性,导致与无烟家庭生活的猫相比,与吸烟者共居的猫患淋巴瘤的风险增大至2.4-3.2倍,且暴露程度和持续时间与淋巴瘤风险的升高呈线性相关。[12,14,28]
②氡气、农用化学用品
II品种/基因倾向
暹罗猫和东方短毛猫在某些研究中淋巴瘤发病率较高,且主要为纵隔型淋巴瘤[9]
……
尽管FeLV感染率大幅下降(北美),但总体上猫淋巴瘤的发病率和数量呈上升的趋势(尤其是消化道替代纵隔型成为主要受累部位),这可能与动物平均寿命延长,动物医学检测诊断技术和治疗手段不断进步且更易获得以及目前尚未确定的环境/生活方式因子有关[29]
2.猫淋巴瘤的分类/分期/分型/分级、临床症状
*一些术语
Ki-67是一种核蛋白,如下图所示,在细胞分裂的所有阶段(G1,S,G2,,M期)均大量表达,在静止不分裂(G0期)的细胞表达量极低,Ki-67增殖指数(Ki-67 proliferation index)是目前公认的量化细胞增殖活跃程度的金标准(越高意味着肿瘤细胞增殖越活跃)[30]
![【科普】[养猫笔记08] 猫淋巴瘤(Feline Lymphoma)概述(1) - 线报酷 【科普】[养猫笔记08] 猫淋巴瘤(Feline Lymphoma)概述(1) - 线报酷](https://new.xianbao.fun/plus/api/image.php?imgurl=https://img2.doubanio.com/view/group_topic/m/public/p719460113.jpg)
图4 A细胞周期(G0为细胞静息阶段)B Ki-67参与细胞分裂的G1/S/G2/M期[30,31]
2.1分类/分期/分型/分级
2.1.1按免疫表型分类
B细胞淋巴瘤:起源于B淋巴细胞,主要负责体液免疫,即产生抗体
T细胞淋巴瘤:起源于T淋巴细胞,主要负责细胞免疫,直接灭杀被感染等异常细胞
2.1.2按细胞大小分类和组织学分级
(1)细胞大小[32]
小细胞:红细胞的1-1.5倍
中细胞:红细胞的1.5-2倍
大细胞:>红细胞的2倍
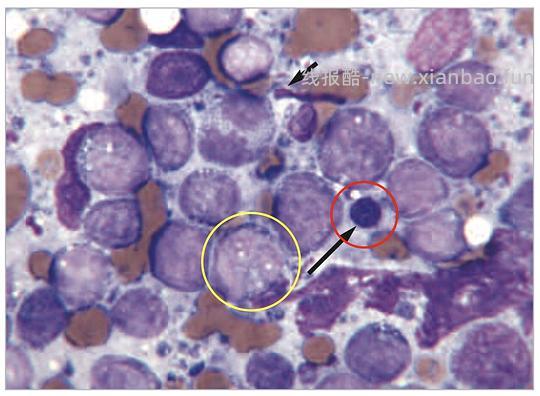
![【科普】[养猫笔记08] 猫淋巴瘤(Feline Lymphoma)概述(1) - 线报酷 【科普】[养猫笔记08] 猫淋巴瘤(Feline Lymphoma)概述(1) - 线报酷](https://new.xianbao.fun/plus/api/image.php?imgurl=https://img2.doubanio.com/view/group_topic/m/public/p719460217.jpg)
图5该细针抽吸样本取自一只因特征性外周淋巴结增生导致全身性外周淋巴结肿大的猫(红圈:小淋巴细胞,黄圈:大淋巴细胞)[8]
(2)组织学分级[14,33]
●低级别(Low grade)淋巴瘤:
细胞较小、形态相对成熟,接近于正常的淋巴细胞;
有丝分裂指数(mitotic index)低,细胞分裂象少见;
传统组织分级上,平均10个高倍视野(总400倍)下,观察到0-5个分裂象;
Ki-67增殖指数一般<10%(-20%),甚至低于5%;
一般偏惰性,生长和扩散通常缓慢;
●中级别(Intermediate grade)淋巴瘤:
细胞大小介于低—高级别之间;
平均10个高倍视野下,观察到6 -10分裂象;
●高级别(High grade)淋巴瘤
细胞大,核仁明显;
有丝分裂指数高,可见大量活跃的细胞分裂象;
平均10个高倍视野下,观察到>10个分裂象;
Ki-67指数>30%(-50%);
通常侵袭性较强,且易转移;
★通常情况下,“低级别”=“小细胞”,“高级别”=“大细胞”,低级别大细胞罕见,最终分级以Ki-67指数为准
2.1.3 WHO临床分期和按解剖位置分类
如下表1和表2所示:
![【科普】[养猫笔记08] 猫淋巴瘤(Feline Lymphoma)概述(1) - 线报酷 【科普】[养猫笔记08] 猫淋巴瘤(Feline Lymphoma)概述(1) - 线报酷](https://new.xianbao.fun/plus/api/image.php?imgurl=https://img2.doubanio.com/view/group_topic/m/public/p719460295.jpg)
表1 WHO猫淋巴瘤临床分期[29]
![【科普】[养猫笔记08] 猫淋巴瘤(Feline Lymphoma)概述(1) - 线报酷 【科普】[养猫笔记08] 猫淋巴瘤(Feline Lymphoma)概述(1) - 线报酷](https://new.xianbao.fun/plus/api/image.php?imgurl=https://img2.doubanio.com/view/group_topic/m/public/p719460362.jpg)
表2按解剖位置分型[11]
2.2临床症状
![【科普】[养猫笔记08] 猫淋巴瘤(Feline Lymphoma)概述(1) - 线报酷 【科普】[养猫笔记08] 猫淋巴瘤(Feline Lymphoma)概述(1) - 线报酷](https://new.xianbao.fun/plus/api/image.php?imgurl=https://img2.doubanio.com/view/group_topic/m/public/p719460444.jpg)
表3 淋巴瘤各分型可能病史和临床症状[11]
3.诊断方法与技术
与很多疾病相似,猫淋巴瘤的诊断是一个多步骤的综合过程,旨在最大可能的明确诊断、确定分型和评估分期,具体流程见下文。
3.1初步筛查与评估(非/低侵入性检查)
在出现肿块或可疑症状后,首先需要进行基础检查,包括体格检查、基础实验室检查和影像学检查:
(1)体格检查:除常规操作(中老年猫那篇有详解此处不赘述)外,格外注意触诊全身淋巴结、腹部,尤其是器官肿大/肿块[11]
(2)基础实验室检查:
①CBC:患淋巴瘤(如消化道)的猫,其全血细胞计数可能出现的异常包括贫血(通常慢性疾病的非再生贫血/继发于肠道失血的再生贫血)以及中性粒细胞增多(继发于炎症/肿瘤/应激)。此外,如若出现基线水平的中性粒细胞减少,可能影响化疗方案的选择[11]
②血生化:常见包括低白蛋白血症/全低蛋白血症(继发于肠道蛋白丢失),肝酶升高可能提示肝脏淋巴瘤/并发肝脏疾病[12,28,34]
③T4
④血清钴胺素(VB12)+叶酸(VB9):
*VB12:由于钴胺素主要在回肠吸收,大多数患消化道淋巴瘤(高达80%的LGAL)的猫存在钴胺素缺乏(回肠和空肠是LGAL最常发生的部位),此外,小肠近端过度增殖的肠道菌群会摄入利用钴胺素,进一步减少机体可吸收的钴胺素水平。[12,28]
*VB9: 消化道淋巴瘤猫体内的血清叶酸浓度可能过低,正常或偏高。叶酸脱结合酶及叶酸吸收所需的载体蛋白仅分布在近端小肠上皮细胞。因此,近端小肠疾病可能因黏膜吸收降低导致血清叶酸浓度下降。血清叶酸升高则是由肠道疾病所致的菌群改变及过量增殖致使合成叶酸增加所造成的。[12]
⑤FeLV和FIV检测
⑥尿检:USG等,评估肾功能
⑦眼部/眼底检查
⑧±f-PL
(3)影像学检查[11,12]
①X线检查:筛查纵隔肿块,可能提示胸腺/纵隔淋巴结受累,同时也可观察是否伴有胸腔积液、肺部浸润及相关其他淋巴结受累
②腹部超声:有助于探查腹腔淋巴结、肝、肾、脾、肠道、胃等器官有无肿块或者存在结构变化/异常,也可观察是否伴有腹水等,还可引导细针抽吸(Fine needle aspiration,FNA)
3.2采样与细胞学、组织病理学
细胞学和组织病理学检查是精确诊断的关键,需要获得一定的细胞或组织样本,因此属于侵入性较强的检查:
(1)细胞学(Cytology)
作为侵入性相对较弱的检测手段,细胞学通常为进阶检查的第一步:对肿大的淋巴结、肿块或超声发现的病变器官进行(超声引导的)FNA,对腹腔/胸腔积液进行穿刺采样,随后进行细胞学检查(制片→染色→显微镜判读),可提供一种相对非侵入性、成本较低及快速的诊断。
然而,此方法无法评估组织结构,有时难以区分高度炎性反应与low-grade淋巴瘤,也无法确定分型等,如细胞学检查难以区分猫炎性肠病IBD与低级别小细胞消化道淋巴瘤,因此,如果细胞学提示高度疑似淋巴瘤,一般建议进一步做组织活检确认[11, 34]
(2)组织病理学(Histopathology)
是诊断的“金标准”,侵入性强,通过手术切除、内窥镜活检或超声引导的穿刺活检(活检针),获取完整的组织样本进行组织病理学检查。该诊断技术可观察细胞形态、组织结构和浸润模式,是确诊和进行WHO分类的最可靠手段。
*不同取样手段(手术/内窥镜/…)会影响样本质量/结构进而影响诊断结果,如相较于内窥镜取样,猫消化道淋巴瘤通常建议优先通过手术切除获取全厚度活检组织,具体也许会在消化道淋巴瘤专篇中阐述。[14, 34, 35]
![【科普】[养猫笔记08] 猫淋巴瘤(Feline Lymphoma)概述(1) - 线报酷 【科普】[养猫笔记08] 猫淋巴瘤(Feline Lymphoma)概述(1) - 线报酷](https://new.xianbao.fun/plus/api/image.php?imgurl=https://img2.doubanio.com/view/group_topic/m/public/p719460606.jpg)
图6 A细针抽吸细胞学样本B内窥镜活检组织学样本[8,36]
3.3分型与辅助检查
辅助检测主要包括免疫表型分析(Immunophenotyping)和克隆性检测(Clonality test),可为淋巴瘤提供更进一步的诊断信息。免疫表型分析旨在确定肿瘤细胞的来源(即源于T细胞还是B细胞);克隆性检测则侧重于分析肿瘤细胞的克隆性(即淋巴细胞群体是否来自同一个“祖先”,可分为单克隆性,寡克隆性和多克隆性)。[29,35]
核心方法为免疫组织化学(Immunohistochemistry,IHC),流式细胞术(Flow cytometry),免疫细胞化学(Immuocytochemistry)和抗体受体基因的PCR扩增(PCR amplifictation of antibody receptor genes,PARR),不同方法的特点、原理、作用、具体描述和对比等见下表4.
![【科普】[养猫笔记08] 猫淋巴瘤(Feline Lymphoma)概述(1) - 线报酷 【科普】[养猫笔记08] 猫淋巴瘤(Feline Lymphoma)概述(1) - 线报酷](https://new.xianbao.fun/plus/api/image.php?imgurl=https://img2.doubanio.com/view/group_topic/m/public/p719460685.jpg)
表4 IHC/Flow cytometry/ICC/PARR方法对比[29, 35]
图7-9为各检测方法示例
![【科普】[养猫笔记08] 猫淋巴瘤(Feline Lymphoma)概述(1) - 线报酷 【科普】[养猫笔记08] 猫淋巴瘤(Feline Lymphoma)概述(1) - 线报酷](https://new.xianbao.fun/plus/api/image.php?imgurl=https://img2.doubanio.com/view/group_topic/m/public/p719460757.jpg)
图7猫高级别B细胞型胃淋巴瘤内窥镜活检样本 (a)H-E染色 (b)CD3(T细胞免疫组化染色)呈阴性,仅见零散的极个别小淋巴细胞呈阳性(棕黄染,为反应性淋巴细胞,非肿瘤细胞)(c)CD79a(B细胞免疫组化染色)显示大量肿瘤细胞胞浆成中等程度的阳性染色,符合B细胞起源(d)PA
![【科普】[养猫笔记08] 猫淋巴瘤(Feline Lymphoma)概述(1) - 线报酷 【科普】[养猫笔记08] 猫淋巴瘤(Feline Lymphoma)概述(1) - 线报酷](https://new.xianbao.fun/plus/api/image.php?imgurl=https://img2.doubanio.com/view/group_topic/m/public/p719460829.jpg)
图8猫低级别T细胞型消化道淋巴瘤 (a)H-E染色 (b)CD3染色大量淋巴细胞阳性,符合T细胞起源[36]
![【科普】[养猫笔记08] 猫淋巴瘤(Feline Lymphoma)概述(1) - 线报酷 【科普】[养猫笔记08] 猫淋巴瘤(Feline Lymphoma)概述(1) - 线报酷](https://new.xianbao.fun/plus/api/image.php?imgurl=https://img2.doubanio.com/view/group_topic/m/public/p719460860.jpg)
图9猫肠道淋巴瘤或炎性肠病肠道活检样本T细胞受体基因重排检测结果,所有样本均进行复孔检测(对同一个样本进行完全相同的两次及以上的独立的重复检测)。1-2泳道:clonal;3:biclonal;4 - 5:pseudoclonal;6 : polyclonal[37]
★注意:
●免疫组化
IHC出现假阳性或假阴性的影响因素较多:①部分与操作流程有关,如试剂稀释不当会导致背景染色加深从而出现假阳性的结果;②淋巴细胞恶性转化过程中的突变也可能改变待染色检测细胞表面的抗原——假阴性;③某些罕见淋巴瘤亚型如富T细胞性B细胞淋巴瘤,表现为在反应性T细胞和组织细胞的背景中,散在分布少量大型恶性B细胞④组织坏死对染色结果也会产生负面印象[14]
●PARR
淋巴瘤源于单个淋巴细胞的恶性转化,故理论上其所有肿瘤细胞克隆应具有相同的基因重排,但需要注意的是,淋巴细胞的克隆性增殖并非肿瘤的特异性表现,如包括淋巴浆细胞性肠炎(Lymphoplasmacytic Enteritis,LPE)等在内的慢性感染,因此,可能会出现“假阳性”的结果。(即clonal≠确诊淋巴瘤)此外,DNA含量过低或质量不佳也会对检测结果产生负面影响。[14, 29]
总体上,IHC与PARR鉴于敏感性/灵敏度/特异性方面等的局限性不可作为独立诊断淋巴瘤的依据,这两项辅助检测必须结合细胞学和组织病理学(金标准)进行综合判读对病灶性质进行判断、
3.4其他检查
根据淋巴瘤解剖部位/类型按需可增加:
◆骨髓穿刺:评估骨髓是否受累,尤其对于白血病型/全身系统性症状的动物;
◆高级影像学:
※计算机断层扫描(Computer Tomography,CT):用于鼻腔、颅脑、脊髓等复杂部位的精细评估,对于鼻腔型淋巴瘤是常用的确诊技术和制定放疗方案的关键
※核磁共振(MRI)
综上,为猫淋巴瘤大致的确诊流程。理想情况下,应在确诊淋巴瘤后、治疗开始前完成疾病的分期/分型,以降低假阴性的概率(如目标组织中原存在的病灶经治疗应答后消失),但对于已确诊淋巴瘤且出现严重临床症状或资金条件有所限制的患者,辅助检测如免疫表型等并非诊疗流程中的必要环节,可及时启动治疗缓解疾病以避免生活质量恶化。

d
dd